TEL06-6773-1881
初診の方のみ
CASES
審美歯科の症例一覧
CACSES
審美歯科
26.01.28
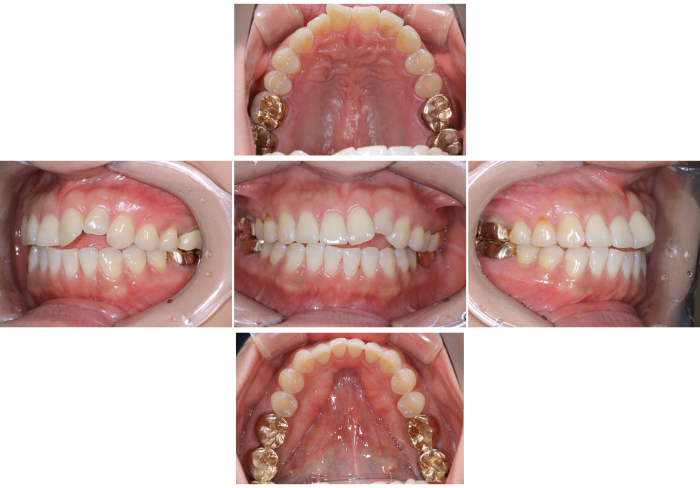
矯正+補綴治療 ジルコニア接着性ブリッジ
26.01.16
矯正+補綴ジルコニアクラウン
ホワイトニング
25.06.26
CR(コンポジットレジン)+ジルコニアクラウン+ホワイトニング
インプラント
骨造成(ソケットリフト)とインプラント治療(+ジルコニアクラウン)+ホワイトニング