カテゴリー:
小児矯正
|上本町の歯医者【ちかみ歯科医院】
TEL
06-6773-1881
初診
の
方
のみ
24時間WEB予約
ホーム
当院について
院内/設備紹介
診療メニュー
虫歯治療
歯周病治療
インプラント
小児歯科
矯正歯科
予防歯科
審美治療
ホワイトニング
インビザライン
ヒアルロン酸
症例紹介
料金表
アクセス
採用情報
ホーム
当院について
院内/設備紹介
診療メニュー
一般歯科
歯周病治療
インプラント
小児歯科
矯正歯科
予防歯科
審美治療
ホワイトニング
インビザライン
ヒアルロン酸
症例紹介
料金表
アクセス
採用情報
お知らせ
ブログ
06-6773-1881
24時間WEB予約
(初診のみ)
インスタグラム
診療受付時間
月
火
水
木
金
土
日
9:30~13:00
●
●
●
―
●
●
―
15:00~19:30
●
●
●
―
●
▲
―
休診日:木曜、日祝
▲
・・・14:00-18:00
06-6773-1881
初診のみ
24時間WEB予約
CASES
小児矯正の症例一覧
ホーム
症例一覧
小児矯正
CACSES
症例一覧
小児矯正
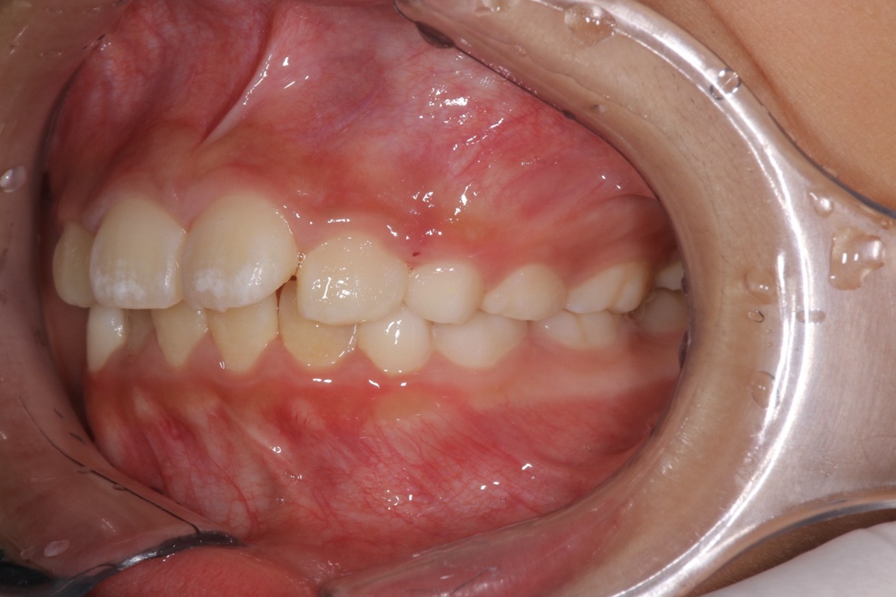
25.12.09
小児矯正 プレオルソ