TEL06-6773-1881
初診の方のみ
CASES
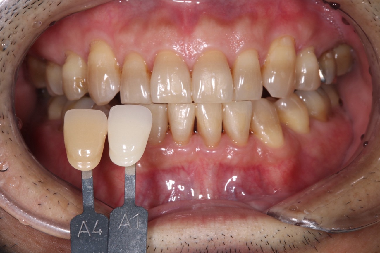
ホワイトニングの症例一覧
CACSES
ホワイトニング
25.12.08
25.06.26
CR(コンポジットレジン)+ジルコニアクラウン+ホワイトニング
インプラント
骨造成(ソケットリフト)とインプラント治療(+ジルコニアクラウン)+ホワイトニング