TITLE
矯正+補綴治療 ジルコニア接着性ブリッジ
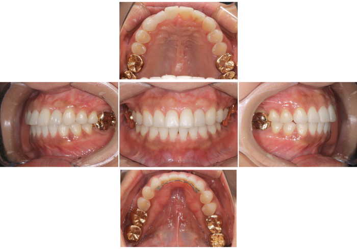
Before

After

治療名称
矯正+補綴治療 ジルコニア接着性ブリッジ(他の矯正歯科医院でのリカバリーケース)
治療内容
患者の症状:他院で矯正したが前歯の並びが気になるのと前歯がオープンバイトとなっている
治療方法 :左上2がアンキローシスにより骨と固定されており、歯と歯肉のポジションの改善のため抜歯を選択、TADを用いて臼歯の圧下を行いオープンバイトの改善
治療結果 :歯並びの改善とともに審美はもちろん機能的にも改善することができた
治療期間
治療期間:3年
メンテナンス:1ヶ月に1〜2回
価格(税込)
矯正 88万 (別途 分析費用33.000 調整費用3.300円/月 ) + 補綴 ジルコニ接着性ブリッジ 22万
リスク・副作用
矯正は期間が長くなることが多く、また転院が難しいです。
今回のようなアンキローシスのケースは非常に珍しいです。また抜歯をするかどうかは治療ゴールにより相談が必要となります。