TITLE
サイナスリフト
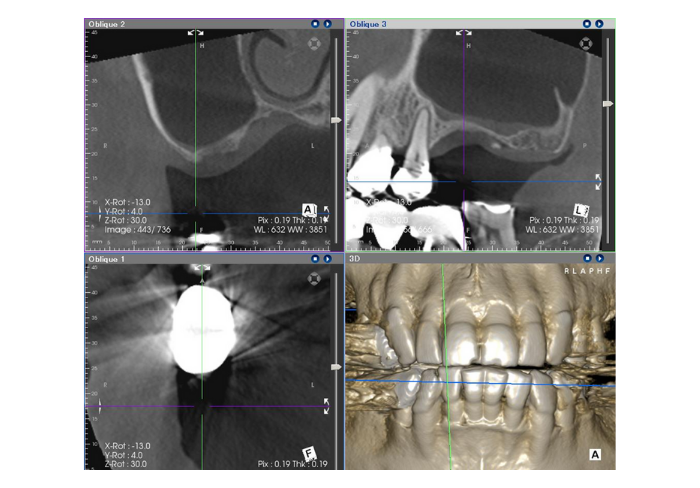
Before

After

治療名称
サイナスリフト
治療内容
患者の症状:インプラントをしたいが骨がない。
治療方法:上顎洞内への造骨
治療結果:インプラントを入れるのに十分な骨ができた。
治療期間
治療期間:6ヶ月
メンテナンス:3ヶ月に一回
価格(税込)
220,0000 (この後にインプラントを入れます+44万)
リスク・副作用
サイナスリフトを行う事により大量に骨を造ることが可能であるが、外科的侵襲は大きく、経済的な負担も増えるため骨の量が極端に少ない場合に限り行います。
上顎での造骨は多くの場合はソケットリフトを行うことが多いです。