TITLE
小児矯正 プレオルソ
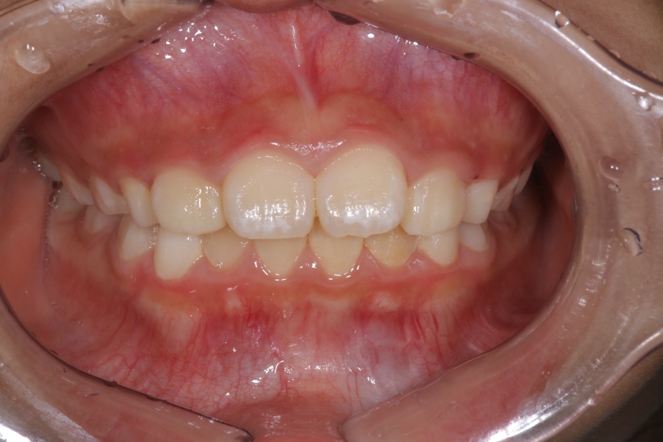
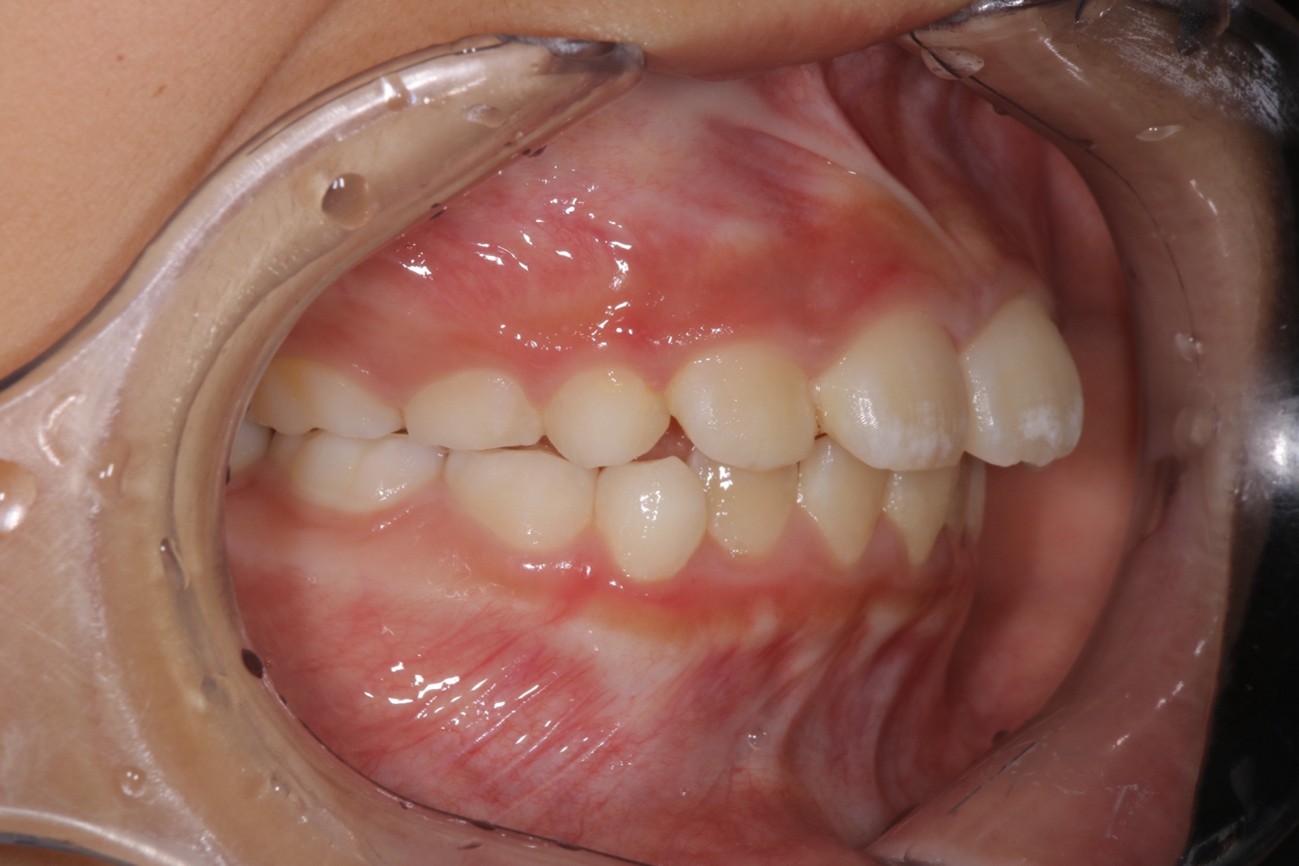
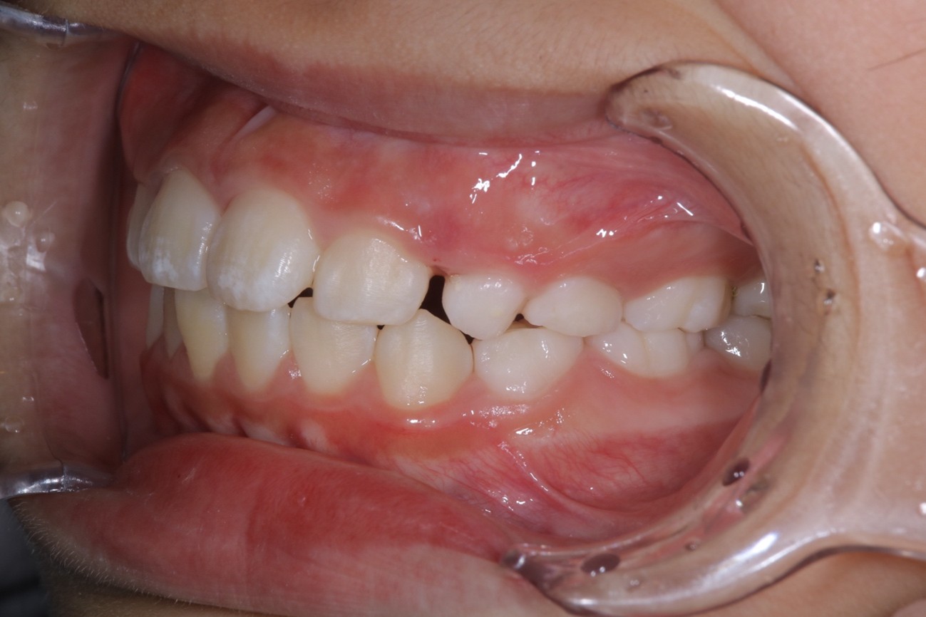
Before
治療名称
小児矯正 プレオルソ
主訴
出っ歯を改善したい
治療内容
治療方法:マウスピースの装着(外出時は装着不必要です)と簡易的なトレーニングによる周囲組織の調和
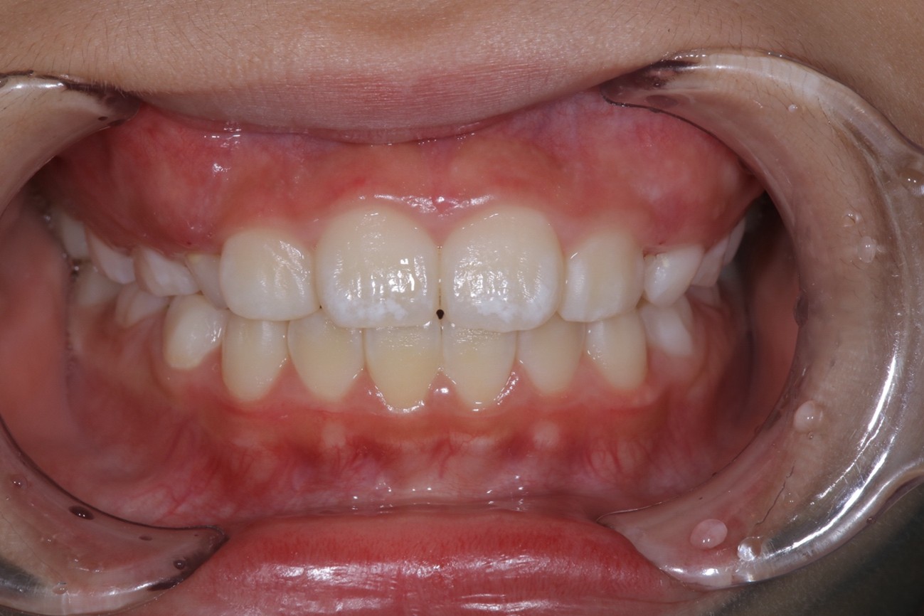
治療結果:上顎前歯の突出感の軽減による審美的な改善 口呼吸の改善
メンテナンス期間:3ヶ月に一回
治療期間
1年
価格(税込)
11万 (資料どり、トレーニング説明、装置の調整料など全て込みの場合)
リスク・副作用
・装着初期は違和感が大きいです
・10歳までが使用対象となります




