TITLE
歯周外科 再生療法
Before
治療名称
歯周外科 再生療法
主訴
歯茎から血と膿が出る
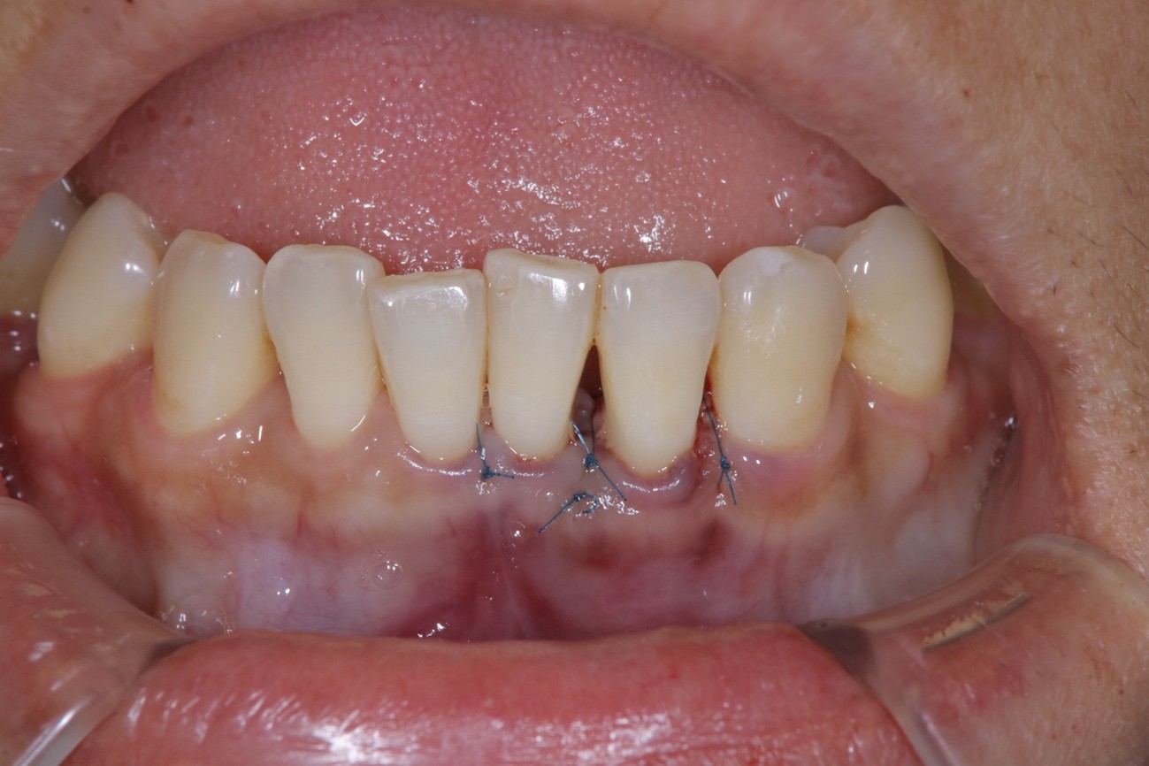
治療内容
治療方法:患部の清掃・再生のお薬(エムドゲイン)・自家骨の移植により骨の再生を促します。
治療結果:歯茎からの出血や膿が止まり、さらに骨の再生が確認できた。
治療期間
オペ:1回
メンテナンス期間:3ヶ月に一回
価格(税込)
77,000円
リスク・副作用
再生療法は歯周病の状態を大きく改善することにより歯が非常に長持ちすることが可能となりますが、骨の状態により適応が限られてしまいます。


