TITLE
ホワイトニング
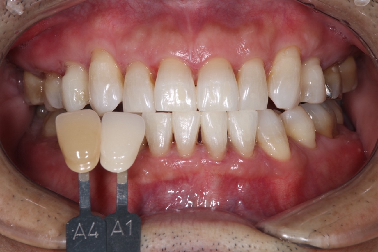
Before

After

治療名称
ホワイトニング
主訴
歯を白くしたい
治療内容
患者の症状:歯を白くしたい
治療方法:歯の漂白
治療結果:歯が白くなり審美的に改善することができた
治療期間
1〜1.5ヶ月
価格(税込)
33.000(ホームホワイトニングのみ)
ホームホワイトニングとオフィスホワイトニングの併用 55.000
リスク・副作用
歯が白くなるのは個人差があります
ホワイトニング中は少ししみることが多いです
その他
メンテナンス期間:3ヶ月に一回