ちかみ歯科医院

CASES

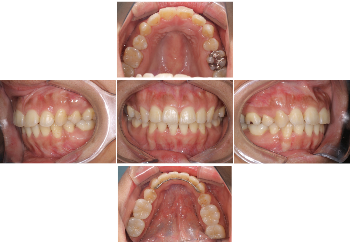
審美歯科の症例

TITLE

矯正+補綴ジルコニアクラウン

Before
After

治療内容

患者の症状 歯が重なっており見た目が悪い 銀歯が気になる
治療方法  歯並びはワイヤーを用いて改善後に銀歯はジルコニアクラウンに変更
治療結果  歯並びの改善とともに審美はもちろん機能的にも改善することができた

治療期間

3年
メンテナンス期間:1ヶ月に1〜2回

価格(税込)

矯正 88万 (別途 分析費用33.000 調整費用3.300円/月 ) +  補綴 ジルコニアクラウン 6歯 528.000

リスク・副作用

矯正は期間が長くなることが多く、また転院が難しいです。
大人の矯正のケースでは補綴物の形態も修正が必要となることがあります