TEL06-6773-1881
初診の方のみ
CASES
症例紹介
インプラント
25.06.26
インプラント治療
骨造成+軟組織移植とインプラント治療
ホワイトニング
CR(コンポジットレジン)+ジルコニアクラウン+ホワイトニング
骨造成(ソケットリフト)とインプラント治療(+ジルコニアクラウン)+ホワイトニング
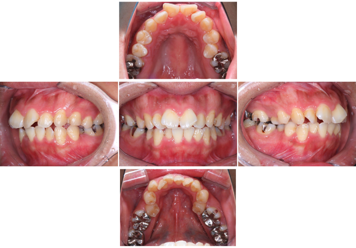
矯正歯科
24.05.22
矯正治療(ワイヤーを用いています)